Orthopedics

What is canine hip dysplasia?

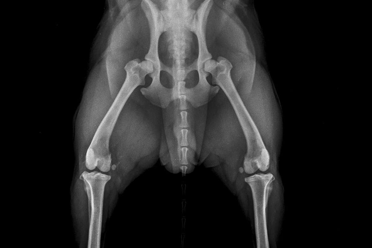
OFA examination and registration of hip dysplasia

PennHIP examination and registration of hip dysplasia

What is canine elbow dysplasia?

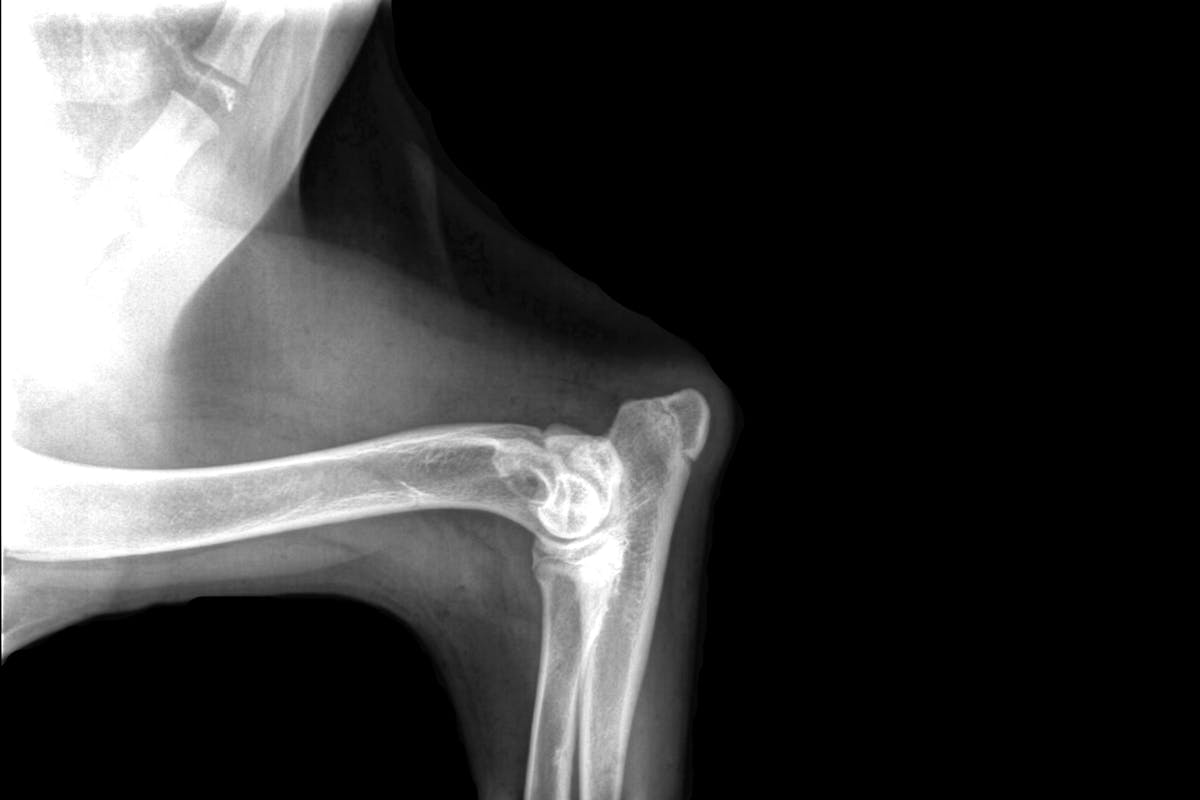
OFA examination and registration of elbow dysplasia

OFA examination and registration of osteochondrosis

Examination and OFA registration of patellar luxation

Examination and registration with the OFA Spine Database

Legg-Calve-Perthes (LCP): OFA examination and registration
Eye Disease
Genetics

Exclusive Q&A with GenSol Diagnostics

DNA Testing Your Litter

Understanding Canine Coat Color Genetics

Breeders: Contributing to canine health through testing

Good Dog genetics glossary

Genetic testing your dogs: What you need to know

Modes of inheritance and your dog breeding program

Multidrug resistance and the MDR1 mutation in dogs

Canine von Willebrand disease (vWD)

What can a DNA test tell you about your dog’s breed status?
Good Dog's Health Resources is a dedicated space for the latest in evidence-based information related to behavior, nutrition, preventative care, fitness, and reproduction for dog breeders and dog owners.