How to get your dog's elbows registered in the OFA database.

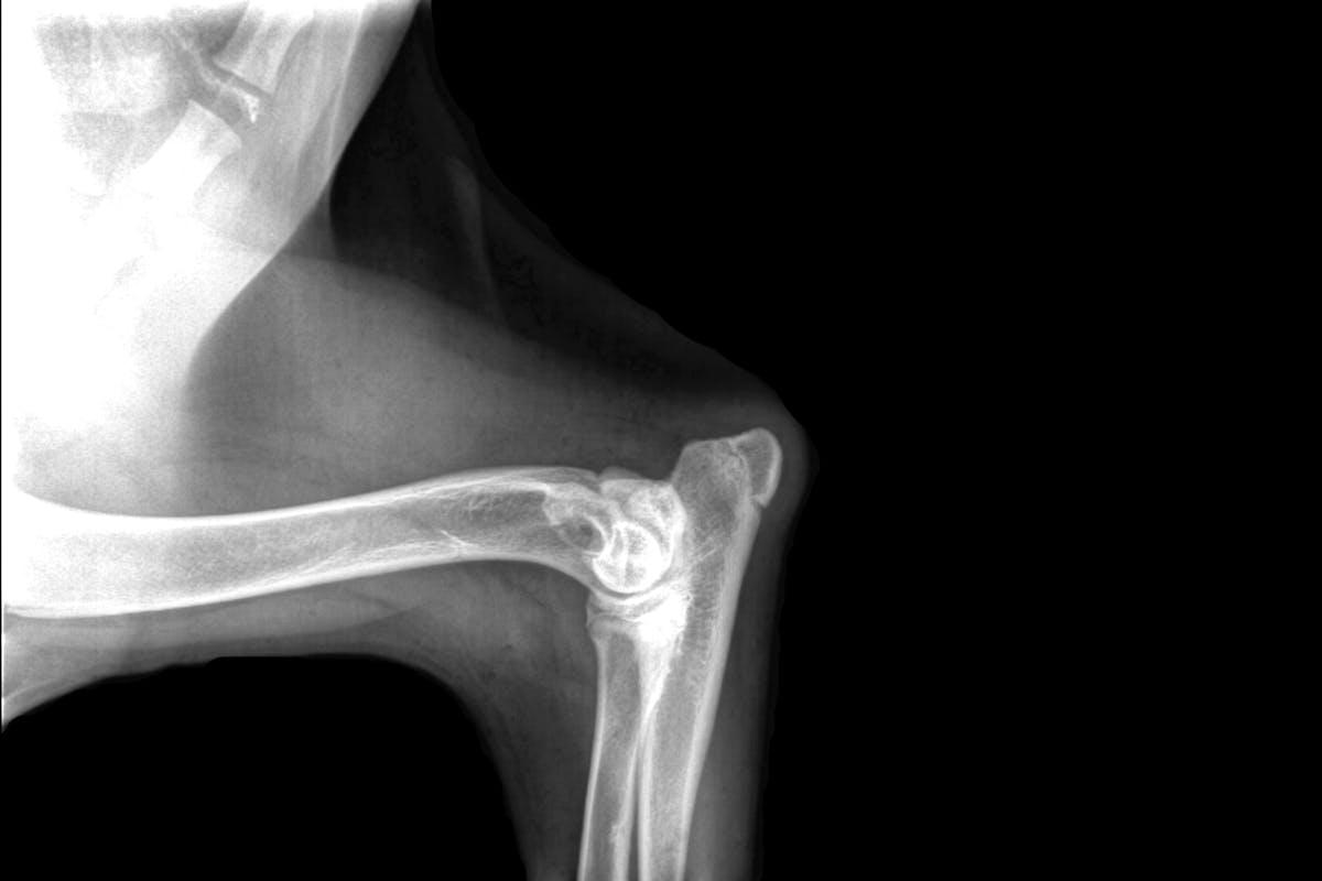
Elbow Dysplasia refers to abnormalities in the joint that can result in the breakdown of cartilage in the joint over time, resulting in varying degrees of pain and lameness over time.
Screening requires x-rays, performed by a licensed veterinarian, be submitted to OFA for review. Submitted radiographs are reviewed independently by 3 randomly selected board-certified veterinary radiologists.
Dogs must be at least 24 months of age to have elbows certified as normal by OFA. The OFA does offer a preliminary evaluation for those less than 24 months of age, but the predictive value of preliminary evaluation is unknown for elbow dysplasia.
Note: Registration of test results is imperative for advancing canine health. Data from health registries support research efforts into canine diseases, establish validated diagnostic criteria, and maintain the reported test results in a reliable public database. Registered data can be used to identify newly emerging conditions, monitor the efficacy of interventions in decreasing the prevalence of conditions, and help breeders make informed breeding decisions.
Disclaimer: Although not required by OFA, chemical restraint (sedation or anesthesia) to the point of muscle relaxation is recommended. Chemical restraint may minimize the need for repeat radiographs (less radiation exposure) while providing a less fearful experience for the dog.
Schedule an appointment with your veterinarian. Download, print, and bring the OFA form to your appointment (found here).
Note: Discuss the use of sedation with your veterinarian prior to the appointment.
When you arrive for your appointment, your veterinarian will examine your dog, give the appropriate sedation when indicated and take x-rays of your dog. Be sure to have all the appropriate paperwork ready for your veterinarian to complete.
Your veterinarian will complete and sign the application form for OFA, identify the radiograph with your dog’s registration name or number, the date of the radiograph, and the veterinarian’s name or hospital name.
Once the application form is completed either you or your veterinarian will then submit the radiographs via one of the methods listed here.
Note: The radiograph, application and fees will need to be sent together, either by your veterinarian or yourself, depending on method of submission.
Send to: Orthopedic Foundation for Animals
2300 E Nifong Blvd, Columbia, MO 65201
Phone (573) 442-0418 / Fax (573)875-5073 / www.ofa.org
For Dogs 24 months or older:
For Dogs 24 months or younger:
**The attending veterinarian and owner are encouraged to submit all evaluations, whether normal or abnormal. This is so a complete data set is available in order to understand the true prevalence of the condition in the population.
For dogs over 24 months of age, the films will be evaluated by three veterinary radiologists once received and then scored. Dogs receiving a passing score will be listed on the public database within 2-3 weeks. If the dog is under 24 months of age, the radiograph will be evaluated by the radiologist on staff at OFA. Results will only be listed on the database IF the dog is over 12 months of age, is microchipped/tattooed, AND the owner consented to release ALL results (including abnormal).
Note: The veterinary radiologist on staff at the OFA screens all the submitted radiographs for diagnostic quality and proper identification.
For more information and an explanation on Elbow Grades, please visit the OFA page on Elbow Dysplasia.

Are you a responsible breeder? We'd love to recognize you. Connect directly with informed buyers, get access to free benefits, and more.